Nếu bạn phát hiện phần nướu (lợi) của mình bị bào mòn và để lộ chân răng thì đó có thể là dấu hiệu của bệnh răng miệng nghiêm trọng. Vậy tụt nướu nguy hiểm như thế nào, phòng ngừa và điều trị ra sao? Hãy cùng BlogAnChoi tìm hiểu nhé!
Tụt nướu là gì?
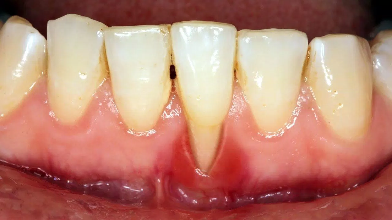
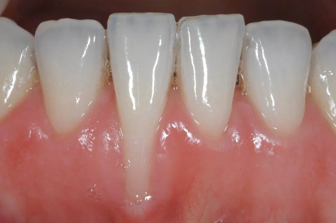
Tụt nướu là tình trạng nướu (lợi) bị mất một phần, để lộ ra bề mặt chân răng mà bình thường được nướu bao phủ. Đây là một biểu hiện của bệnh về nướu răng, hay bệnh nha chu, có thể dẫn đến tổn thương răng, mất răng và ảnh hưởng đến các cơ quan xung quanh của vùng hàm mặt.

Nguyên nhân và các yếu tố nguy cơ của tụt nướu
Hiệp hội Nha khoa California (CDA) ước tính rằng cứ 4 người trưởng thành thì có khoảng 3 người mắc bệnh nha chu ở một dạng nào đó, bao gồm cả tụt nướu.
Bệnh nha chu là dạng tiến triển của bệnh viêm nướu, bắt đầu xảy ra khi vi khuẩn và mảng bám tích tụ trên nướu và răng. Theo thời gian, mảng bám làm tổn thương nướu và khiến chúng bị “bào mòn”, để lộ chân răng. Trường hợp nghiêm trọng có thể hình thành khoảng trống lớn giữa răng và nướu, tạo không gian cho vi khuẩn sinh sôi và mảng bám hình thành nhiều hơn nữa.
Một số yếu tố làm tăng nguy cơ tụt nướu bao gồm:
- Đánh răng quá mạnh trong thời gian dài
- Tích tụ mảng bám (cao răng)
- Hút thuốc lá
- Bệnh tiểu đường
- HIV
- Thay đổi nội tiết tố ở phụ nữ
- Tiền sử gia đình có người mắc bệnh về nướu
- Một số loại thuốc có thể gây giảm tiết nước bọt, làm khô miệng và tăng nguy cơ tụt nướu. Khi không có đủ nước bọt, các mô trong khoang miệng trở nên dễ bị tổn thương do vi khuẩn tấn công.
Theo CDA, tụt nướu xảy ra phổ biến nhất ở những người từ 40 tuổi trở lên. Đó cũng là lý do triệu chứng này thường bị hiểu nhầm là dấu hiệu bình thường của quá trình lão hóa. Ngoài ra nam giới cũng bị tụt nướu nhiều hơn so với nữ giới.
Tụt nướu có biểu hiện như thế nào?
Các triệu chứng của tụt nướu bao gồm:
- Chảy máu sau khi đánh răng hoặc dùng chỉ nha khoa
- Nướu bị sưng đỏ
- Hơi thở hôi
- Đau ở đường viền nướu, chỗ tiếp xúc giữa nướu và răng
- Nướu bị co lại rõ rệt, chân răng lộ ra ngoài
- Răng lung lay

Chẩn đoán tụt nướu như thế nào?
Nha sĩ sẽ chẩn đoán tụt nướu và các dạng bệnh nha chu khác khi bạn đi khám răng. Ngoài những dấu hiệu dễ thấy bên ngoài như trên, nha sĩ có thể dùng một dụng cụ đặc biệt gọi là “đầu dò” để đo khoảng trống giữa răng và nướu. Bình thường khoảng trống này có kích thước dao động từ 1 đến 3 mm, nếu lớn hơn có thể là dấu hiệu của bệnh nướu răng.

Tụt nướu được điều trị như thế nào?
Dùng thuốc
Nha sĩ sẽ lập kế hoạch điều trị tốt nhất để chữa lành các mô nướu và răng nếu đã có tổn thương. Đầu tiên, nếu có tình trạng nhiễm trùng người bệnh sẽ được kê đơn thuốc kháng sinh để tiêu diệt vi khuẩn.

Ngoài ra các loại thuốc khác cũng có thể được sử dụng để điều trị tình trạng tụt nướu bao gồm:
- Gel kháng sinh bôi tại chỗ
- Miếng chip sát trùng
- Nước súc miệng kháng khuẩn
- Các chất ức chế enzym
Phẫu thuật
Phẫu thuật có thể được áp dụng trong những trường hợp bệnh tiến triển nặng không thể chữa khỏi bằng thuốc. Nhìn chung có hai phương pháp là phẫu thuật vạt và phẫu thuật ghép.

Phẫu thuật vạt được sử dụng nếu các lựa chọn điều trị khác không thành công. Đây là quá trình làm sạch sâu giúp loại bỏ vi khuẩn và cao răng tích tụ ở nướu. Bác sĩ sẽ nâng nướu lên, làm sạch các mô và sau đó đặt nướu trở lại vị trí cũ. Đôi khi răng có vẻ bị lộ ra nhiều hơn sau khi thực hiện phẫu thuật này vì nướu ôm sát vào răng hơn.
Đối với phẫu thuật ghép, mục tiêu là hồi sinh các mô nướu hoặc xương đã bị tổn thương bằng cách dùng vật liệu tổng hợp nhân tạo hoặc mô tự nhiên của cơ thể để giúp nướu “mọc” trở lại. Điều quan trọng cần lưu ý là phương pháp này đòi hỏi người bệnh phải chăm sóc răng miệng đúng cách sau khi phẫu thuật thì mới giữ được kết quả lâu dài.
Tụt nướu có thể gây ra những biến chứng gì?
CDA ước tính rằng các bệnh nha chu – trong đó có tụt nướu – là nguyên nhân gây ra khoảng 70% trường hợp mất răng ở người trưởng thành. Khi không có đủ mô nướu để giữ chân răng chắc chắn, răng rất dễ bị rơi ra ngoài.
Trong một số trường hợp, nha sĩ phải nhổ bỏ các răng bị lung lay trước khi rụng. Nếu bị tụt nướu nặng có thể phải phẫu thuật để ngăn ngừa tổn thương tiến triển thêm.
Ngăn ngừa tụt nướu bằng cách nào?
Một trong những cách tốt nhất để ngăn ngừa tụt nướu cũng như các bệnh răng miệng nói chung là đi khám răng thường xuyên để được làm sạch và kiểm tra có dấu hiệu bất thường hay không. Kể cả khi bản thân không cảm thấy bất kỳ triệu chứng nào thì cũng có thể bệnh đã xuất hiện ở giai đoạn sớm, do đó hãy nhờ nha sĩ thăm khám để phát hiện kịp thời.

Cũng có thể ngăn ngừa các vấn đề về nướu và răng bằng thói quen chăm sóc sức khỏe răng miệng lành mạnh: dùng chỉ nha khoa và đánh răng thường xuyên giúp loại bỏ vi khuẩn, thức ăn thừa và mảng bám, nhưng đối với cao răng (vôi răng) thì chỉ có thể đến phòng khám để lấy sạch.
Cao răng có thể góp phần gây ra các bệnh về nướu và tụt nướu, do đó hãy làm sạch chúng định kỳ 2 tháng một lần để ngăn ngừa các vấn đề răng miệng.
Tổng kết
Tụt nướu cũng như các bệnh nướu răng nói chung nếu được phát hiện sớm và điều trị kịp thời có thể chữa lành tốt. Bạn cũng không cần phải đợi đến gặp nha sĩ mới phát hiện ra các dấu hiệu tụt nướu. Hãy theo dõi tình trạng răng miệng của mình mỗi ngày và nếu cảm thấy có dấu hiệu bất thường hãy đi khám ngay lập tức để điều trị viêm nướu trước khi nó tiến triển thành tụt nướu.
Mời bạn xem thêm những bài viết liên quan của BlogAnChoi:
- Chảy máu chân răng do nguyên nhân gì? Đừng chủ quan với những bệnh tiềm ẩn!
- Vì sao bạn bị sâu răng? 6 sự thật bất ngờ mà bạn nên biết về sâu răng!
Hãy đón xem BlogAnChoi mỗi ngày để nhận được nhiều thông tin thú vị cho cuộc sống bạn nhé!







































