Hiện nay, tỉ lệ người mắc bệnh Alzheimer tăng lên một cách đáng kể . Cùng BlogAnChoi tìm hiểu để biết bệnh Alzheimer là gì? Làm thế nào để nhận biết bệnh và nên làm gì nếu có những dấu hiệu nghi ngờ nhè!
- Bệnh Alzheimer là gì?
- Nguyên nhân gây bệnh Alzheimer?
- Dấu hiệu của bệnh Alzheimer
- 1. Mất trí nhớ
- 2. Tâm trạng dễ bị kích động và thay đổi
- 3. Có những hành động vô lý
- 4. Gặp nhiều rắc rối trong vấn đề tiền bạc
- 5. Khó khăn với những công việc quen thuộc
- 6. Khó giao tiếp
- 7. Đi lang thang
- 8. Mất đi sự chủ động và động lực
- 9. Không nhận ra gia đình và bạn bè
- 10. Không chú ý giữ vệ sinh cá nhân và quên bữa ăn
- 11. Khó ngủ
- 12. Có xu hướng dựa dẫm, bám víu người khác
- Chăm sóc người Alzheimer như thế nào?
- Điều trị Alzheimer
- Phòng ngừa bệnh Alzheimer như thế nào?
- Bệnh Alzheimer sống được bao lâu?
- Khám Alzheimer ở đâu uy tín?
Có nhiều nguyên nhân khác nhau gây mất trí nhớ như thiếu vitamin B12, rối loạn chức năng não bộ, tuyến giáp, hoặc vấn đề từ thận hoặc gan. Alzheimer là một bệnh điển hình cho chứng mất trí nhớ ở người già do tổn thương não bộ. Người bệnh sẽ giảm, mất trí nhớ, giảm sút khả năng tư duy nhận định từ đó ảnh hưởng đến sinh hoạt hằng ngày, công việc, cuộc sống của người bệnh.
Bệnh Alzheimer là gì?
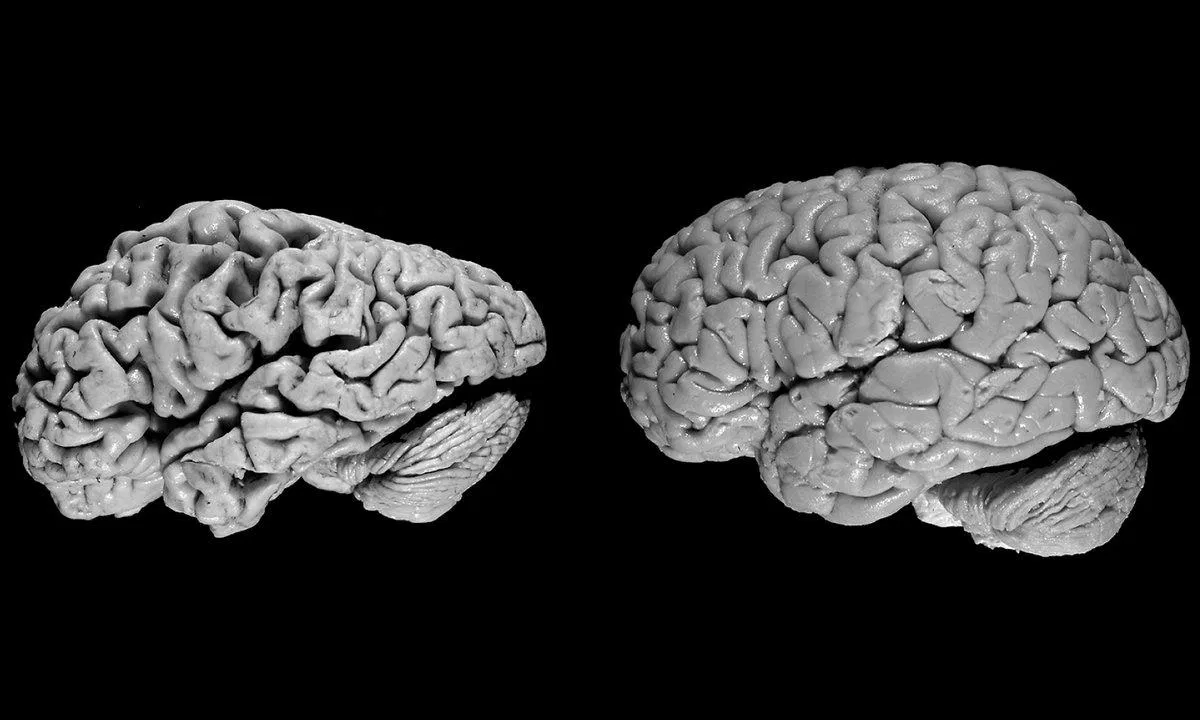
Bệnh Alzheimer là căn bệnh gây mất trí nhớ phổ biến, tổn thương điển hình là sự mất các nơtron và synap của não bộ điều khiển khả năng ghi nhớ, trí thông minh, phán đoán, ngôn ngữ, hành vi và bệnh có xu hướng nặng dần. Bệnh chủ yếu xuất hiện ở người già tuổi từ 65 tuổi trở lên. Gần một nửa số người mắc bệnh Alzheimer được thống kê trong khoảng từ 75 đến 85 tuổi.

Nguyên nhân gây bệnh Alzheimer?
Thực tế, cho đến nay nguyên nhân gây bệnh Alzheimer vẫn chưa tìm được lời giải đáp chắc chắn. Tuy nhiên, qua nhiều năm nghiên cứu, một vài giả thuyết đã được đưa ra:
- Sự lão hóa xảy ra ở người già dẫn đến phá hủy bao myelin làm giảm sự dẫn truyền thần kinh não bộ;
- Có một loại Protein đã làm chết các tế bào não, não bộ bị ảnh hưởng chức năng;
- Do rối loạn quá trình chuyển hóa của các chất oxy hóa trong cơ thể con người;
Dấu hiệu của bệnh Alzheimer
1. Mất trí nhớ
Mất trí nhớ, thường xuyên nhầm lẫn là dấu hiệu rất hay gặp ở người bị Alzheimer. Khi chưa phát hiện bệnh, nhiều người có thể sẽ nhầm các triệu chứng này với chứng đãng trí do căng thẳng, tuổi tác, đặc biệt ở người lớn tuổi.

2. Tâm trạng dễ bị kích động và thay đổi
Một người bị Alzheimer sẽ hay lo lắng và rất dễ bị kích động. Họ có thể biểu hiện như liên tục đi lại trong vô định, đột nhiên buồn bã, đột nhiên khóc lóc, thay đổi cảm xúc không rõ nguyên nhân. Họ dễ bị sợ hãi, bối rối, mệt mỏi và cảm thấy choáng ngợp khi họ không nhớ được sự vật, sự việc, mọi người xung quanh.
3. Có những hành động vô lý
Một người bị Alzheimer nhiều khi sẽ gây ra những hành động có vẻ ngớ ngẩn, vô trách nhiệm, thậm chí không phù hợp với đạo đức, văn hóa. Họ không có nhận thức về hành vi họ đã làm trước đó, họ có thể mặc quần áo không phù hợp với thời tiết hoặc thực hiện những hành vi không an toàn với bản thân.
Theo một thống kê cho thấy, sự bất thường trong hành động của người Alzheimer mà được người khác phát hiện đầu tiên thường liên quan đến tiền. Chẳng hạn như họ đột nhiên vô thức đưa tiền cho những người lạ hoặc đi mua đồ sẽ khăng khăng giữ lại tiền mà đáng ra phải đưa cho người bán hàng.
4. Gặp nhiều rắc rối trong vấn đề tiền bạc
Số lượng và tiền bạc trở nên đặc biệt rắc rối và khó khăn với bệnh nhân Alzheimer. Nếu người thân của bạn đột nhiên gặp khó khăn trong việc xử lý tiền, thanh toán hóa đơn, quản lý ngân sách hoặc khó khăn với những con số tính toán cộng trừ nhân chia thì nó có thể là một dấu hiệu của Alzheimer.
5. Khó khăn với những công việc quen thuộc
Đối với những công việc hay thói quen hàng ngày, người Alzheimer có thể mất nhiều thời gian hơn để thực hiện hoặc cảm thấy khó khăn, bối rối khi thực hiện công việc đó. Kể cả những việc mà người đó đã thực hiện hàng trăm lần trước đây như đến một địa điểm quen thuộc, đặt đồ vật lại vị trí cũ hay làm món ăn yêu thích của mình.
6. Khó giao tiếp
Khi chứng mất trí tiến triển, kỹ năng giao tiếp và ngôn ngữ của một người sẽ bị ảnh hưởng. Người bệnh có thể dừng cuộc trò chuyện giữa chừng và không biết làm thế nào để tiếp tục, đôi khi họ nói linh tinh không liên quan đến vấn đề đang được thảo luận. Người Alzheimer có thể sẽ gọi sai tên đồ vật, không nhớ ra tên hoặc phát minh ra từ mới để gọi món đồ vật đó…
7. Đi lang thang
Theo thống kê, khoảng 60% những người mắc bệnh Alzheimer nhớ có xu hướng bỏ đi, đi lang thang không mục đích và bị lạc, điều này xảy ra thường xuyên lặp đi lặp lại. Họ khôn nhận ra sự vật sự việc xung quanh, không có khả năng phân tích xử lý vấn đề. Nhiều trường hợp người bệnh rời khỏi nhà vào giữa đêm để tìm nhà vệ sinh hoặc thức ăn, họ cố gắng “về nhà” vì không nhận ra mình đang ở nhà.
8. Mất đi sự chủ động và động lực
Nếu sự thờ ơ, mất hứng thú với các hoạt động xã hội và sở thích của bản thân xảy ra vào giai đoạn giữa hoặc sau của Alzheimer, có thể do trầm cảm. Trầm cảm thường xảy ra vào giai đoạn giữa của bệnh Alzheimer với các dấu hiệu như thờ ơ trước mọi người hay sự việc đặc biệt, mất hứng thú với các hoạt động yêu thích trước đây của bản thân.

9. Không nhận ra gia đình và bạn bè
Khi Alzheimer tiến triển, có thể không phải lúc nào người bệnh cũng nhận ra bạn bè và các thành viên khác trong gia đình. Họ cần rất nhiêu sự đồng cảm, giúp đỡ của những người xung quanh.
10. Không chú ý giữ vệ sinh cá nhân và quên bữa ăn
Khi bệnh tiến triển, những người mắc Alzheimer thường quên đánh răng, quên tắm, quên thay quần áo và thậm chí quên cả việc phải đi vệ sinh. Tương tự như vậy, họ có thể quên cách chải tóc, cắt móng tay, cách cạo râu,…
Nhiều bệnh nhân Alzheimer giảm cảm giác thèm ăn và họ không quan tâm đến vấn đề ăn uống, ăn quên nhai, không nhớ cách sử dụng dụng cụ để ăn và ăn bằng tay. Ngoài ra, người Alzheimer có thể mất khả năng nhận biết thực phẩm cũng như mùi vị của nó. Một số khác quên mất họ đã vừa ăn và từ đó họ ăn trưa hoặc tối nhiều lần trong ngày.
11. Khó ngủ
Một số triệu chứng như bồn chồn, lo lắng, kích động, mất phương hướng và nhầm lẫn, có xu hướng trở nên tồi tệ hơn thậm chí xảy ra vào cả ban đêm. Điều đó làm người bệnh rất khó ngủ và lại thực hiện những hành động vô thức không có ý nghĩa.
12. Có xu hướng dựa dẫm, bám víu người khác
Những người mắc bệnh Alzheimer trở nên hoàn toàn phụ thuộc vào một cá nhân nào đó đặc biệt có xu hướng xảy ra vào cuối ngày hoặc vào buổi tối khi người bệnh bắt đầu cảm thấy mệt mỏi, bối rối và sợ hãi.
Chăm sóc người Alzheimer như thế nào?
Khi phát hiện người thân hay bạn bè của mình có những dấu hiệu trên, điều đầu tiên là hãy liên hệ ngay với bác sĩ để có thể đưa ra chẩn đoán chính xác nhất. Khi ai đó mắc bệnh Alzheimer, điều đó không có nghĩa là cuộc sống của người đó sẽ rất tồi tệ. Một người bị Alzheimer vẫn có thể sống một cuộc sống đầy ý nghĩa, vui vẻ trong nhiều năm. Để đạt được điều đó, họ cần được điều trị đúng, được sự quan tâm chăm sóc của những người thân yêu.

Khi chăm sóc một bệnh nhân Alzheimer, bạn cần chú ý:
- Luôn bên cạnh chăm sóc và hỗ trợ người bệnh Alzheimer.
- Tạo một không gian thoải mái, đơn giản hóa mọi thứ hằng ngày
- Cùng họ tham tham gia nhiều hơn các hoạt động thể chất và giúp người bệnh luôn suy nghĩ tích cực.
Điều trị Alzheimer
Bệnh Alzheimer hiện nay vẫn chưa có biện pháp chữa khỏi hoàn toàn, tuy nhiên đã có nhiều phương pháp điều trị bệnh Alzheimer hơn trước đây, bao gồm cả thuốc men, thay đổi lối sống và các biện pháp can thiệp.
Một số loại thuốc có thể giúp giảm bớt các triệu chứng như mất trí nhớ và nhầm lẫn như các thuốc ức chế memantine và cholinesterase. Các thuốc hiện nay đang được sử dụng để điều trị Alzheimer như: Donepezil (Aricept), Rivastigmine (Exelon), Galantamine (Razadyne), Memantine… Ngoài ra, người bệnh có thể sử dụng thêm các thuốc như trầm cảm, các thuốc an thần để tránh kích động, lo âu hay không kiểm soát được hành vi.
Hơn nữa, bằng chứng cho thấy rằng việc thay đổi lối sống có thể giúp người bệnh tiến triển tốt hơn và giúp cuộc sống của những người mắc bệnh Alzheimer tốt đẹp hơn như: tập thể dục, tham gia các hoạt động xã hội, ăn uống lành mạnh,…

Phòng ngừa bệnh Alzheimer như thế nào?
Để phòng ngừa bệnh Alzheimer, chưa có biện pháp nào được coi là đặc hiệu, tuy nhiên việc cải thiện chế độ ăn uống, sinh hoạt, tập luyện thể dục thể thao đã được chứng minh có mang lại hiệu quả phòng bệnh.
- Thường xuyên luyện tập thể dục thể thao: Tập thể dục có ý nghĩa trong việc kết nối các mạch máu não, làm tăng tư duy, khả năng nhận thức và phân tích. Bài tập nên thực hiện là những bài tập thể chất nhẹ vĩ dụ như đi bộ (dưới 60 phút mỗi ngày).
- Giải tỏa căng thẳng: Căng thẳng chính là một trong những nguyên nhân gây bệnh Alzheimer ở nhiều người. Bạn nên có những cách giải tỏa căng thẳng riêng phù hợp với bản thân, nếu quá áp lực hãy tạm rời xa công việc để đi đâu đó thật thoải mái, bạn có thể nghe nhạc, bạn theo lớp học Yoga,….
- Thường xuyên thăm hỏi, nói chuyện với bạn bè, người thân: Thường xuyên gặp những người mình yêu thương, được chia sẻ, được thấu hiểu chắc chắn sẽ mang lại cho bạn năng lượng tuyệt vời và giảm đi áp lực trong cuộc sống.
- Luyện tập trí não: Hãy thường xuyên đặt ra thử thách đối với não bộ của bạn, khả năng của chúng là vô hạn, đừng để não của bạn trở nên lười một cách chủ động. Những việc bạn có thể làm như chơi một trò chơi trí tuệ mà bạn yêu thích, đọc sách báo sau đó nhận định và phân tích chúng hay học một ngoại ngữ mới nếu bạn muốn.
- Cải thiện chế độ ăn uống: Theo một nghiên cứu mới được công bố trên American Journal of Geriatric Psychiatry rằng chế độ ăn uống lành mạnh, hoạt động thể chất thường xuyên và duy trì cân nặng bình thường sẽ làm giảm sự tích tụ protein trong não làm giảm nguy cơ mắc bệnh Alzheimer. Các thực phẩm bạn nên bổ sung là các nhóm giàu vitamin B12 (tìm thấy trong trứng, sữa, ngũ cốc nguyên hạt, cá ngừ, cá hồi,…), vitamin E (tìm thấy trong hạnh nhân, bơ, rau cải xanh, dầu thực vật, cà chua,…), giàu Omega 3 (tìm thấy trong cá thu, cá hồi, bánh mì, ngũ cốc, quả óc chó, rau súp lơ, đậu Hà lan,…) và acid folic (rau xà lách, đu đủ, cam, bưởi, khoai tây, măng tây…), đặc biệt cần giảm đường và chất béo trong bữa ăn hàng ngày.
- Tìm hiểu thêm về omega 3 qua bài viết “Lợi ích của omega 3 và cách bổ sung dễ dàng, khoa học” tại đây.
- Hiểu rõ hơn về vitamin E qua bài viết “Vitamin E là gì? Công dụng của vitamin E và cách bổ sung khoa học” bạn nhé.
- Ngủ đủ giấc: Một protein mang tên beta-amyloid sẽ được cơ thể tăng sản xuất khi bạn mất ngủ. Và đây là một protein xấu có thể làm tắc nghẽn lưu thông của não bộ. Ngoài ra, không ngủ đủ giấc làm tăng sự mệt mỏi, stress, điều này cũng dẫn đến Alzheimer. Hãy ngủ đủ giấc 7-8 tiếng/ ngày bạn nhé. Bạn lưu ý đừng ngủ quá nhiều vào buổi trưa vì điều đó có thể khiến bạn mất ngủ vào buổi tối.

Trên thực tế, sống lành mạnh không chỉ giúp giảm nguy cơ mắc bệnh Alzheimer mà còn giúp ngăn ngừa mắc các bệnh khác và cho bạn một cơ thể khỏe mạnh hơn.

Bệnh Alzheimer sống được bao lâu?
Tùy vào cách chăm sóc, độ tuổi và từng người bệnh sẽ có thời gian khác nhau. Hầu hết những người mắc bệnh Alzheimer sau khi phát hiện các triệu chứng đầu tiên sẽ có thời gian tiếp tục sống từ 5-10 năm. Tuy nhiên ở những người cao tuổi có sức khỏe không tốt thì thường là 3 đến 4 năm trong khi những người bệnh ít tuổi hơn với chế độ chăm sóc, điều trị phù hợp có thể sống tới 10 năm hoặc nhiều hơn.
Khám Alzheimer ở đâu uy tín?
Địa chỉ khám Alzheimer Hà Nội uy tín
1. Bệnh viện Bạch Mai
- Tel: 844 3869 3731
- Website: bachmai
- Địa chỉ: 78 Đường Giải Phóng, Phương Mai, Đống Đa, Hà Nội
2. Bệnh viện đại học Y Hà Nội
- Điện thoại: 1900 6422
- Web: http://benhviendaihocyhanoi.com/
- Địa chỉ: 1 Tôn Thất Tùng, Kim Liên, Đống Đa, Hà Nội
Địa chỉ khám Alzheimer ở Đà Nẵng uy tín
1. Bệnh viện Đà Nẵng
- Địa chỉ: 124 Hải Phòng, Thạch Thang, Hải Châu, Đà Nẵng
- Điện thoại: 1900 9095
- Website: dananghospital
2. Bệnh viện Đa khoa Quốc tế Vinmec Đà Nẵng
- Tel: 0236 3711 111
- Website: vinmec
- Địa chỉ: 4 30 Tháng 4, Khu dân cư, Hải Châu, Đà Nẵng
Địa chỉ khám Alzheimer ở Thành phố Hồ Chí Minh uy tín
1. Bệnh viện Từ Dũ
- Địa chỉ: 284 Cống Quỳnh, phường Phạm Ngũ Lão, quận 1, TP HCM
- Điện thoại: (028) 3839 5117.
- Website: tudu
2. Bệnh viện Đại học Y Dược TP HCM
- Địa chỉ: 215 Hồng Bàng, phường 11, quận 5, TP HCM
- Điện thoại: (028) 3855 4269
- Website: bvdaihoc
Một số bài viết liên quan cùng chuyên mục bạn có thể tham khảo:
- 5 triệu chứng trầm cảm cần được phát hiện và điều trị trước khi quá muộn
- 8 nguyên nhân mất ngủ cần tránh để ngon giấc mỗi đêm
Đừng quên theo dõi và ủng hộ BlogAnChoi bạn nhé!










































