Bệnh bạch cầu cấp dòng tủy hay bệnh bạch cầu tủy cấp tính (Acute Myeloid Leukemia – AML) là một dạng ung thư hiếm gặp của máu và tủy xương – nơi sản xuất các tế bào máu. Đây là căn bệnh diễn tiến nhanh, thường xuất hiện nhiều ở người lớn tuổi nhưng cũng có thể ảnh hưởng đến trẻ em. Khi mắc AML, tủy xương bắt đầu sản sinh quá mức các tế bào bạch cầu non chưa trưởng thành. Những tế bào này không thể phát triển thành các tế bào bạch cầu bình thường và lành mạnh. Thay vào đó, chúng tích tụ trong tủy xương và máu, chèn ép quá trình tạo ra các tế bào máu khỏe mạnh khác như hồng cầu, tiểu cầu và bạch cầu trưởng thành.
- Bệnh bạch cầu cấp dòng tủy (AML) là bệnh gì?
- Các loại bệnh bạch cầu cấp dòng tủy (AML)
- Dấu hiệu và triệu chứng của bệnh bạch cầu cấp dòng tủy
- Nguyên nhân gây bệnh bạch cầu cấp dòng tủy
- Cách chẩn đoán bệnh bạch cầu cấp dòng tủy
- Điều trị bệnh bạch cầu cấp dòng tủy
- Chăm sóc hỗ trợ
- Các biến chứng nếu bệnh bạch cầu cấp dòng tủy không được điều trị
- Sống chung với bệnh bệnh bạch cầu cấp dòng tủy
- Một số câu hỏi thường gặp
Bệnh bạch cầu cấp dòng tủy (AML) là bệnh gì?
Bệnh bạch cầu cấp dòng tủy (AML) là một dạng ung thư máu, bắt nguồn từ tủy xương – cơ quan tạo ra các tế bào máu. Đây là dạng bạch cầu cấp tính phổ biến nhất ở người trưởng thành, nhưng vẫn chỉ chiếm khoảng 4 ca trên 100.000 người mỗi năm.
Tên gọi “cấp tính” thể hiện sự phát triển nhanh chóng của bệnh. Nếu không được điều trị sớm, AML có thể tiến triển rất nhanh và dẫn đến các biến chứng nghiêm trọng.

Các loại bệnh bạch cầu cấp dòng tủy (AML)
Không giống như nhiều loại ung thư khác, bệnh bạch cầu cấp dòng tủy không hình thành khối u. Thay vào đó, nó được phân loại dựa trên hình dạng tế bào và những bất thường về di truyền. Một số hệ thống phân loại được sử dụng phổ biến gồm:
- Hệ thống FAB (Pháp – Mỹ – Anh): Đây là phương pháp cũ, chia AML thành 8 nhóm (M0 đến M7) dựa trên hình dạng và mức độ trưởng thành của tế bào dưới kính hiển vi.
- Phân loại của Tổ chức Y tế Thế giới (WHO): Hệ thống này xem xét các đột biến gen, sự phát triển của bệnh và mối liên hệ với các bệnh lý về máu khác hoặc tác động từ điều trị ung thư trước đó.
- Hướng dẫn từ European LeukemiaNet (ELN) 2022: Đây là tiêu chuẩn mới nhất, mở rộng thêm các tiêu chí về di truyền và nồng độ tế bào bất thường trong chẩn đoán AML.
Việc phân loại chính xác bệnh bạch cầu cấp dòng tủy giúp các bác sĩ chọn được phương pháp điều trị phù hợp và đánh giá tiên lượng bệnh rõ ràng hơn.
Dấu hiệu và triệu chứng của bệnh bạch cầu cấp dòng tủy
Vì AML làm suy giảm khả năng sản sinh các tế bào máu khỏe mạnh nên các triệu chứng thường liên quan đến thiếu máu, nhiễm trùng và chảy máu. Một số biểu hiện thường gặp gồm:
- Sốt kéo dài hoặc từng cơn không rõ nguyên nhân
- Mệt mỏi kéo dài, yếu cơ, kiệt sức
- Khó thở, đặc biệt khi gắng sức
- Da nhợt nhạt do thiếu hồng cầu
- Nhiễm trùng tái phát hoặc nghiêm trọng
- Dễ bầm tím, chảy máu nướu răng hoặc kinh nguyệt nhiều hơn bình thường
- Xuất hiện các chấm đỏ nhỏ dưới da (xuất huyết dưới da)
- Đau xương hoặc khớp, thường ở sườn hoặc đầu gối
- Hạch bạch huyết sưng ở cổ, nách hoặc bẹn
- Mất cảm giác thèm ăn, nhanh no hoặc sụt cân bất thường
- Đau đầu hoặc rối loạn thị lực (nếu tế bào ung thư lan đến não)
Những triệu chứng này có thể xuất hiện trong vài tuần trước khi được chẩn đoán. Vì vậy, nếu có biểu hiện bất thường kéo dài, bạn nên đến bệnh viện để kiểm tra càng sớm càng tốt.

Nguyên nhân gây bệnh bạch cầu cấp dòng tủy
Bệnh bạch cầu cấp dòng tủy (AML) xảy ra khi DNA trong tế bào tủy xương bị đột biến, khiến tế bào phát triển và phân chia mất kiểm soát. Những đột biến này phần lớn là mắc phải – tức phát sinh trong suốt cuộc đời chứ không phải do di truyền từ cha mẹ.
Mặc dù nguyên nhân cụ thể gây ra các đột biến này vẫn chưa được hiểu rõ, một số yếu tố môi trường và lối sống có thể đóng vai trò kích hoạt sự thay đổi DNA.
Những yếu tố làm tăng nguy cơ mắc bệnh bạch cầu cấp dòng tủy
- Tuổi tác: AML thường gặp ở người từ 65 tuổi trở lên
- Giới tính: Nam giới có nguy cơ mắc bệnh cao hơn nữ giới
- Hút thuốc lá: Các hóa chất độc hại trong khói thuốc có thể gây tổn thương DNA trong tủy xương
- Tiếp xúc hóa chất độc hại: Chẳng hạn như benzen, thường có trong xăng dầu và công nghiệp
- Từng điều trị ung thư: Những người từng xạ trị hoặc hóa trị có thể tăng nguy cơ mắc AML
- Rối loạn máu tiền ung thư: Ví dụ hội chứng loạn sản tủy có thể tiến triển thành AML
- Bệnh di truyền: Một số hội chứng như Down hoặc Klinefelter liên quan đến nguy cơ cao hơn
- Tiền sử gia đình: Có người thân mắc AML làm tăng nhẹ nguy cơ dù đa số ca AML không mang tính di truyền
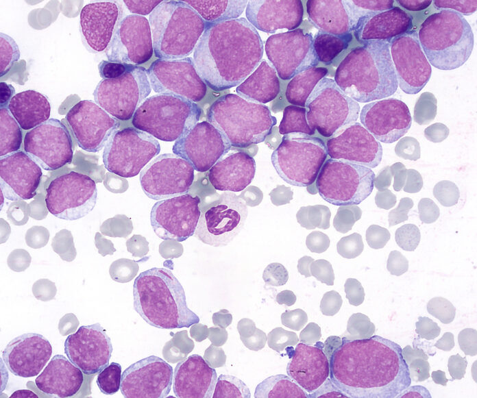
Cách chẩn đoán bệnh bạch cầu cấp dòng tủy
Nếu bạn có triệu chứng nghi ngờ bệnh bạch cầu cấp dòng tủy, bác sĩ sẽ chỉ định một số xét nghiệm để xác nhận chẩn đoán:
- Công thức máu toàn bộ (CBC): Kiểm tra số lượng và loại tế bào máu trong máu
- Xét nghiệm tổng phân tích tế bào máu ngoại vi: Quan sát mẫu máu dưới kính hiển vi để tìm tế bào bất thường
- Sinh thiết tủy xương: Lấy mẫu tủy từ xương hông để kiểm tra mật độ tế bào bạch cầu
- Phân tích di truyền và tế bào học: Tìm kiếm đột biến gen để xác định phân nhóm AML
- Chọc dò tủy sống: Nếu có triệu chứng thần kinh, bác sĩ sẽ lấy mẫu dịch não tủy để kiểm tra
- Chẩn đoán hình ảnh: CT, X-quang hoặc siêu âm giúp xác định mức độ lan rộng của bệnh
Những xét nghiệm này không chỉ giúp chẩn đoán chính xác mà còn là cơ sở để lên kế hoạch điều trị phù hợp.

Điều trị bệnh bạch cầu cấp dòng tủy
AML là bệnh tiến triển nhanh, vì vậy, việc điều trị cần bắt đầu sớm sau khi được chẩn đoán. Các phương pháp điều trị thường bao gồm:
Hóa trị
Là phương pháp chính để tiêu diệt tế bào ung thư. Hóa trị thường gồm hai giai đoạn:
- Giai đoạn cảm ứng: Nhằm đưa bệnh vào giai đoạn thuyên giảm (không còn tế bào ung thư có thể phát hiện)
- Giai đoạn củng cố: Tiếp tục tiêu diệt các tế bào ung thư còn sót lại nhằm ngăn ngừa tái phát
- Liệu pháp duy trì (ở một số trường hợp): Dùng liều hóa trị thấp kéo dài nhằm giữ cho bệnh không quay lại
Liệu pháp nhắm mục tiêu
Sử dụng thuốc chuyên biệt để tấn công vào các đột biến gen cụ thể trong tế bào ung thư, giúp điều trị hiệu quả hơn và ít tác dụng phụ hơn so với hóa trị thông thường.
Ghép tế bào gốc (ghép tủy xương)
Được chỉ định trong những trường hợp AML khó điều trị hoặc dễ tái phát. Bệnh nhân sẽ được hóa trị liều cao để loại bỏ hoàn toàn tế bào ung thư, sau đó truyền tế bào gốc từ người hiến để phục hồi tủy xương.
Thử nghiệm lâm sàng
Nhiều phương pháp điều trị mới đang được nghiên cứu. Tham gia thử nghiệm lâm sàng có thể giúp bệnh nhân tiếp cận với các liệu pháp tiên tiến, đặc biệt trong các trường hợp khó điều trị.
Chăm sóc hỗ trợ
Khi điều trị tích cực không còn hiệu quả hoặc không phù hợp với tình trạng bệnh nhân, chăm sóc hỗ trợ sẽ được ưu tiên. Mục tiêu là giúp người bệnh giảm đau, thoải mái hơn và duy trì chất lượng cuộc sống.
Ví dụ:
- Dùng thuốc giảm đau
- Truyền máu để cải thiện tình trạng thiếu máu
- Hóa trị liều nhẹ để kiểm soát triệu chứng
- Tư vấn tâm lý, chăm sóc tinh thần

Các biến chứng nếu bệnh bạch cầu cấp dòng tủy không được điều trị
Nếu không được kiểm soát, AML có thể dẫn đến:
- Nhiễm trùng nghiêm trọng: Do cơ thể thiếu bạch cầu chống lại vi khuẩn
- Chảy máu khó cầm: Vì số lượng tiểu cầu thấp
- Thiếu máu nặng: Gây mệt mỏi kéo dài, chóng mặt, khó thở
- Tắc mạch máu: Khi tế bào bạch cầu tích tụ quá nhiều trong mạch máu
- Tổn thương cơ quan: Do tế bào ung thư lan rộng đến gan, lá lách, não…
Sống chung với bệnh bệnh bạch cầu cấp dòng tủy
Dù là căn bệnh khó khăn, đặc biệt với người lớn tuổi, nhưng tiên lượng của AML đang ngày càng được cải thiện nhờ các tiến bộ trong điều trị. Việc phát hiện và điều trị sớm là yếu tố then chốt.
Sống chung với bệnh bạch cầu cấp dòng tủy cũng đòi hỏi sự hỗ trợ tinh thần: tham gia nhóm hỗ trợ bệnh nhân, trò chuyện với chuyên gia tâm lý hoặc chăm sóc giảm nhẹ đều giúp cải thiện chất lượng cuộc sống.
Khi bệnh đã thuyên giảm, người bệnh cần tái khám định kỳ để phát hiện sớm dấu hiệu tái phát.
Một số câu hỏi thường gặp
Tuổi thọ trung bình của người mắc bệnh bạch cầu cấp dòng tủy là bao lâu?
Tỷ lệ sống sau 5 năm đối với người mắc bệnh bạch cầu cấp dòng tủy là khoảng 32%. Tuy nhiên, con số này thay đổi tùy theo độ tuổi, tình trạng sức khỏe và phân nhóm bệnh. Trẻ em và người lớn dưới 60 tuổi thường có tiên lượng tốt hơn.
Người bệnh có thể sống với bệnh bạch cầu cấp dòng tủy bao lâu mà không biết?
AML phát triển rất nhanh, các triệu chứng thường xuất hiện rõ ràng trong khoảng 4–6 tuần. Vì vậy, thời gian “tiềm ẩn” không kéo dài như một số bệnh ung thư khác.
Ai có nguy cơ mắc bệnh bạch cầu cấp dòng tủy cao nhất?
Những người trên 65 tuổi, nam giới, người hút thuốc, từng điều trị ung thư hoặc có rối loạn máu trước đó là những đối tượng có nguy cơ cao nhất.
Nếu bạn hoặc người thân có dấu hiệu nghi ngờ, đừng chần chừ đi khám. Với sự tiến bộ của y học hiện nay, nhiều trường hợp AML có thể kiểm soát tốt và kéo dài tuổi thọ đáng kể nếu được điều trị sớm và đúng cách.
Nguồn tham khảo/dịch: What To Know About Acute Myelogenous Leukemia (AML) (Maggie Aime, MSN, RN) – Health
Bạn có thể quan tâm:






































Các bạn có thể chia sẻ cảm nhận của bạn về bài viết này để mình có thể tạo ra những bài viết tốt hơn trong tương lai.